همشهری آنلاین - یکتا فراهانی: یک فناوری تازه میتواند تصاویر MRI مغز را تنها در چند ثانیه تحلیل و تفسیر کند؛ آن هم با دقتی حیرتانگیز که حتی از تحلیل انسانی هم بهتر گزارش شده است.
تصویربرداری تشدید مغناطیسی MRI یکی از مهمترین ابزارهای پزشکی برای بررسی مغز و تشخیص بیماریهای پیچیده است. اما تا همین چند وقت پیش، تحلیل این تصاویر زمانبر، پرهزینه و نیازمند تخصص فراوان بود. اکنون با پیشرفت هوش مصنوعی، سیستمهایی توسعه یافتهاند که میتوانند در عرض چند ثانیه MRI مغز را بخوانند، تشخیص دهند و نتایج را به پزشک ارائه دهند؛ تغییری بزرگ در مسیر تشخیص پزشکی. این پیشرفت میتواند زندگی میلیونها نفر را در سراسر جهان متحول کند؛ بهویژه در شرایط اورژانسی که هر ثانیه اهمیت دارد.

تغییر زمان به نفع بیماران
تصور زمانی که یک بیمار با علائم بیماری مغزی به بیمارستان مراجعه میکند:
معمولاً باید MRI گرفته شود، تصاویر ذخیره شوند، سپس یک متخصص آنها را تحلیل کند؛ کاری که حتی ساعتها طول میکشد.
اما حالا فناوری جدید هوش مصنوعی این روند را سرعت بخشیده است:
تجزیهوتحلیل MRI در چند ثانیه
تشخیص نشانههای بیماری بدون انتظار
گزارش فوری به پزشک برای تصمیم سریعتر
این یعنی در شرایطی که زمان تعیینکننده نتیجه درمان است — مثل سکته مغزی — بیمار زمان بیشتری برای درمان زودهنگام خواهد داشت.
بیشتر بخوانید :
-
چطور ام آر آی کار میکند؟
- سکته هشداردهنده چیست؟؛ در صورت داشتن این علائم فوراً به اورژانس زنگ بزنید!
چگونگی عملکرد این هوش مصنوعی
سیستم بر اساس دادههای هزاران تصویر MRI آموزشدیده است. به زبان ساده:
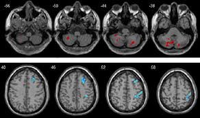
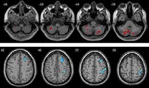
نمونههای MRI واقعی را دیده یاد گرفته الگوهای غیرطبیعی را تشخیص دهد و میتواند نشانههایی مثل: سکته، تومور، خونریزی مغزی، التهاب و آسیبهای بافتی را در تصاویر MRI شناسایی کند. این تحلیل نهفقط سریعتر، بلکه در بسیاری موارد دقیقتر از چشم انسان عمل میکند.
بهاینترتیب بسیاری از بیماریهای مغزی هر لحظه تاخیر در تشخیص میتواند پیامدهای جبرانناپذیر داشته باشد. این فناوری همان «تصمیم سریع» را ممکن میکند.
توجه داشته باشیم هوش مصنوعی ابزار کمکی است، نه جایگزین پزشک. نتیجه تحلیل به پزشک کمک میکند تصمیم بهتر و سریعتر بگیرد.

ارتقای کیفیت سلامت بیماران
این فناوری میتواند یک نقطه عطف در پزشکی تشخیصی باشد که نهتنها سرعت را افزایش میدهد، بلکه کیفیت سلامت بیماران را ارتقا میدهد.
بعضی متخصصان هشدار میدهند که باید استانداردهای ایمنی و اخلاقی برای استفاده گسترده از این سیستمها ایجاد شود تا احتمال خطا به حداقل برسد.
این فناوری فقط یک ابزار نیست؛ بلکه در حال شکلدادن به نسل آینده پزشکی است.
تغییر مهم در تشخیص پزشکی
هوش مصنوعی که MRI مغز را در چند ثانیه تحلیل میکند، تغییر بزرگی در مسیر پزشکی تشخیص ایجاد کرده است. این فناوری نهفقط یک ابزار تکنولوژیک، بلکه یک فرصت واقعی برای نجات زندگی است. از کاهش زمان انتظار گرفته تا کمک به پزشکان، از ارتقای کیفیت سلامت تا دسترسی بهتر در مناطق دورافتاده.












