کشف نوع جدیدی از سلول‌های چربی و نقش آنها در بیماری‌های متابولیک

الف یکشنبه 12 اسفند 1403 - 07:07
محققان با شناسایی زیرمجموعه‌های جدید و غیرمعمول چربی در بدن انسان، دریافته‌اند که این سلول‌ها ممکن است نقش مهمی در بروز چاقی و بیماری‌های مرتبط با آن ایفا کنند.

محققان بتازگی توانسته‌اند زیرمجموعه‌های غیرمعمولی از سلول‌های چربی در بدن انسان را شناسایی و توصیف کنند که می‌توانند به توضیح اینکه چرا چربی شکمی با مشکلات بهداشتی متعدد مرتبط است، کمک کنند. این تحقیق که در تاریخ ۲۴ ژانویه در مجله Nature Genetics منتشر شد، می‌تواند به باز شدن مسیرهایی جدید برای درمان‌های پزشکی منجر شود.

به گزارش ایسنا و به نقل از لایوساینس، براساس تحقیقات انجام‌شده، چربی‌های بدن تنها نقش ذخیره‌سازی انرژی اضافی را ایفا نمی‌کنند. در واقع، سلول‌های چربی یا آدیپوسیت‌ها و سلول‌های ایمنی با هم همکاری می‌کنند تا با مغز، عضلات و کبد ارتباط برقرار کرده و در تنظیم اشتها، متابولیسم و وزن بدن مؤثر باشند. این همکاری می‌تواند در بسیاری از بیماری‌های مرتبط با چاقی نیز تأثیرگذار باشد. به گفته یگر-لوتِم، استاد زیست‌شناسی محاسباتی از دانشگاه بن‌گوریون«اگر در بافت چربی مشکلی وجود داشته باشد، این مشکل می‌تواند سایر نقاط بدن را تحت تأثیر قرار دهد.»

یکی از ابعاد پیچیده چاقی این است که نه همه چربی‌ها یکسان هستند و نه تمام انواع چربی تأثیرات یکسانی بر سلامتی دارند. چربی احشایی که در ناحیه شکم و نزدیک به اندام‌های داخلی قرار دارد، خطر بیشتری برای بروز مشکلات بهداشتی دارد. این نوع چربی با خطرات بالاتری مانند حمله قلبی، سکته مغزی، دیابت، مقاومت انسولینی و بیماری‌های کبدی همراه است. مطالعات نشان داده‌اند که چربی احشایی نسبت به چربی زیرپوستی از نظر التهابی‌تر است و این می‌تواند به بدتر شدن شرایط مرتبط با چاقی کمک کند.

برای درک بهتر این که چه چیزی در بافت چربی در حال وقوع است، یگر-لوتِم و همکارانش با استفاده از روش Single-Nucleus RNA sequencing (snRNA seq) که میزان فعالیت ژن‌ها را بررسی می‌کند، نقشه‌ای از سلول‌های چربی بدن تهیه کردند. این نقشه تحت پروژه جهانی Human Cell Atlas به منظور شناسایی تمامی سلول‌های بدن انسان طراحی شده است. محققان از بافت چربی احشایی و زیرپوستی ۱۵ نفر که در عمل جراحی‌های شکمی انتخابی شرکت کرده بودند، نمونه‌برداری کردند.

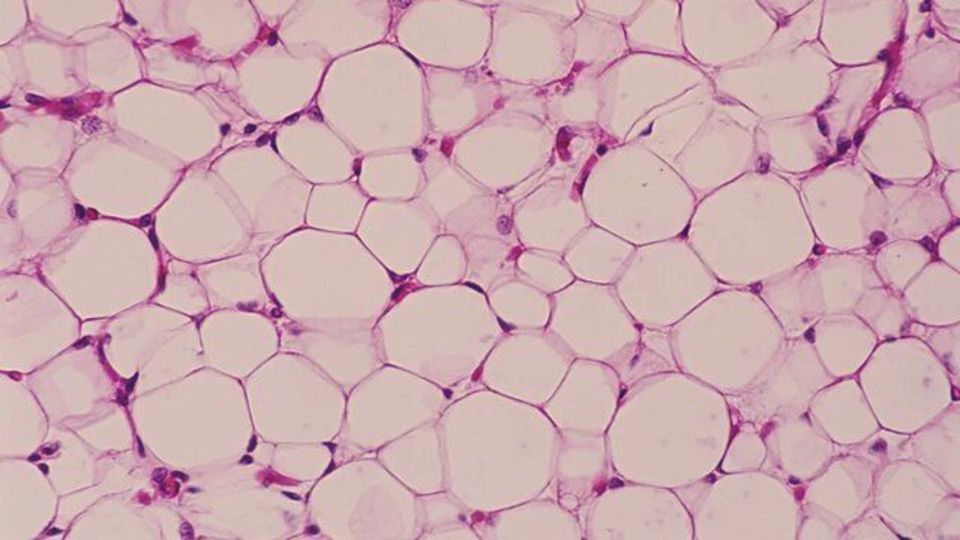
در این تحقیق، سلول‌های چربی کلاسیک که وظیفه ذخیره‌سازی انرژی اضافی را دارند، به‌طور عمده در نمونه‌ها مشاهده شدند، اما درصد کمی از سلول‌ها غیرکلاسیک بودند که به نظر می‌رسید عملکردهایی متفاوت از آنچه معمولاً از سلول‌های چربی انتظار می‌رود، دارند. این سلول‌های غیرمعمول شامل آدیپوسیت‌های آنگیوجنیک بودند که پروتئین‌هایی تولید می‌کنند که به تشکیل رگ‌های خونی کمک می‌کند، آدیپوسیت‌های مرتبط با ایمنی که پروتئین‌هایی مربوط به عملکرد سلول‌های ایمنی می‌سازند و آدیپوسیت‌های ماتریکس خارج سلولی که پروتئین‌هایی برای پشتیبانی از ساختار سلول‌ها تولید می‌کنند. این سلول‌ها در هر دو نوع چربی احشایی و زیرپوستی یافت شدند و زیر میکروسکوپ نیز تایید شدند.

این کاربرد پیشرفته از snRNA seq پیشنهاد می‌کند که این سلول‌ها ممکن است نقش مهمی در بازسازی بافت چربی ایفا کنند. بازسازی در اینجا به تغییرات بافت چربی در پاسخ به نوسانات وزن یا تغییرات متابولیکی اشاره دارد. بازسازی سالم می‌تواند به حفظ تعادل متابولیکی کمک کند، اما اگر این فرآیند به درستی کنترل نشود، می‌تواند منجر به التهاب و سایر عوامل ایجادکننده مشکلات بهداشتی در چاقی شود.

یگر-لوتِم و همکارانش متوجه شدند که سلول‌های غیرمعمول چربی از چربی احشایی بیشتر تمایل به ارتباط با سیستم ایمنی دارند تا چربی زیرپوستی. این ارتباط با سلول‌های ایمنی ممکن است توضیح دهد که چرا چربی احشایی خاصیت التهاب‌زایی بیشتری دارد و چرا چربی شکمی برای سلامتی مضرتر از چربی زیرپوستی است.

تحقیقات  نشان داد که اهداکنندگان بافت چربی که مقاومت انسولینی بالاتری داشتند، غلظت بالاتری از این سلول‌های غیرمعمول را در چربی احشایی داشتند. با این حال، هنوز برای اثبات علت و معلول این پدیده خیلی زود است و به گفته‌ Mejhert، متخصص غدد در دانشگاه کارولینسکا، نمی‌توان بطور قطعی گفت که این سلول‌ها ممکن است بطور مستقیم باعث مقاومت انسولینی شوند.

در صورت تایید ارتباط این زیرمجموعه‌های چربی با بیماری‌های انسانی، درک نحوه عملکرد آن‌ها می‌تواند در مبارزه با فرآیندهای التهابی و پیش‌بینی ریسک مقاومت انسولینی در افراد مبتلا به چاقی مؤثر باشد. اگرچه نویسندگان این تحقیق با استفاده از یک نمونه نسبتا کوچک به این نتایج دست یافته‌اند، اما این یافته‌ها همچنان بر اهمیت درک رفتارهای منحصر به فرد ذخایر چربی برای توسعه درمان‌های هدفمند در درمان چاقی و بیماری‌های مرتبط تأکید می‌کنند

منبع خبر "الف" است و موتور جستجوگر خبر تیترآنلاین در قبال محتوای آن هیچ مسئولیتی ندارد. (ادامه)
با استناد به ماده ۷۴ قانون تجارت الکترونیک مصوب ۱۳۸۲/۱۰/۱۷ مجلس شورای اسلامی و با عنایت به اینکه سایت تیترآنلاین مصداق بستر مبادلات الکترونیکی متنی، صوتی و تصویری است، مسئولیت نقض حقوق تصریح شده مولفان از قبیل تکثیر، اجرا و توزیع و یا هرگونه محتوای خلاف قوانین کشور ایران بر عهده منبع خبر و کاربران است.