توضیح وزارت بهداشت درباره بیماری قارچ سیاه

رکنا سه شنبه 25 خرداد 1400 - 16:02
توضیح وزارت بهداشت درباره بیماری قارچ سیاه

رکنا: وزارت بهداشت در مورد بیماری قارچ سیاه توضیح داد.

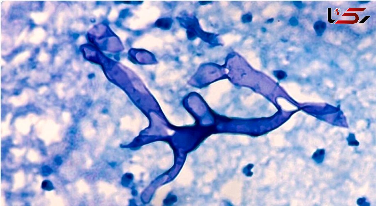
رییس مرکز مدیریت بیماری‌های وزارت بهداشت اعلام کرد: «موکورمایکوزیس» یا قارچ سیاه یک عفونت قارچی جدی است که فرصت‌طلب بوده و در افراد سالم به ندرت بروز می‌یابد، این بیماری در افرادی که دارای بیماری‌های زمینه‌ای بوده و خوب درمان نشدند، ایجاد شده و قابل درمان است.

قارچ سیاه در افراد مبتلا به کرونا که در بیمارستان به مدت طولانی بستری می شوند نیز دیده شده و این عفونت از طریق بینی، دهان و چشم وارد بدن شده و خوردن غذای آلوده نیز در بروز قارچ سیاه نقش دارد.

در یک سال گذشته حدود پنج مورد ابتلا به بیماری قارچ سیاه در ایران گزارش شده که دو مورد از بیماران، جان خود را از دست دادند. همه این بیماران دیابتی بودند و درگیری ریویی بالایی داشتند.آخرین قیمت های بازار ایران را اینجا کلیک کنید.

 

منبع خبر "رکنا" است و موتور جستجوگر خبر تیترآنلاین در قبال محتوای آن هیچ مسئولیتی ندارد. (ادامه)
با استناد به ماده ۷۴ قانون تجارت الکترونیک مصوب ۱۳۸۲/۱۰/۱۷ مجلس شورای اسلامی و با عنایت به اینکه سایت تیترآنلاین مصداق بستر مبادلات الکترونیکی متنی، صوتی و تصویری است، مسئولیت نقض حقوق تصریح شده مولفان از قبیل تکثیر، اجرا و توزیع و یا هرگونه محتوای خلاف قوانین کشور ایران بر عهده منبع خبر و کاربران است.