به گزارش همشهری آنلاین، روح الله عباسی، عضو هیئت علمی دانشگاه علوم پزشکی همدان و جراح گوش و حلق و بینی اظهار کرد: لوزهها دو غده لنفاوی در قسمت پشت گلو هستند که نقشی مهمی در سیستم ایمنی بدن دارند.
وی افزود: آنها به کمک شناسایی و مبارزه با عفونتها، به جلوگیری از بیماریهای مرتبط با گلو و دستگاه تنفسی کمک میکنند.
متخصص گوش و حلق و بینی با بیان اینکه خلط گلو معمولا ناشی از عفونتهای سینوزیت است و غالبا ارتباطی با لوزه ندارد، گفت: در کودکان مشکلات لوزه بسیار شایع است و در سن نوجوانی روند کاهشی دارد و از بین میرود.
وی با اشاره به اینکه با افزایش سن، لوزه کوچک میشود و ناپدید خواهدشد، ادامه داد: لوزه سوم هم از این قاعده مستثنی نیست بنابراین دارا بودن یک فرد بزرگسال از لوزه سوم بسیار نادر است.
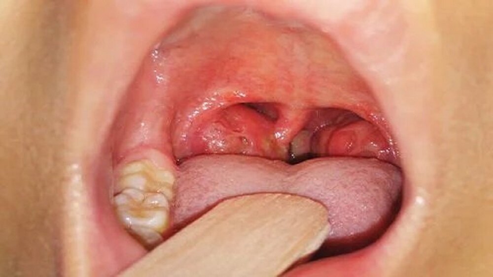
عباسی بیان کرد: در اثر افزایش سن، لوزه کامی و دهانی کوچک میشود اما در برخی افراد ممکن است بزرگ بماند که زمینه عفونتهای مکرر را فراهم میکند.
عضو هیئت علمی دانشگاه علوم پزشکی همدان اضافه کرد: لوزه باهربار عفونت و بهبود آن تغییرات دارد و دچار آسیب میشود و میتوان گفت لوزههایی که بارها عفونت کردند، لوزه طبیعی و اولیه نیستند و تفاوت دارند.
وی درباره علائم عفونت لوزهها، در کودکان تصریح کرد: یکی از شایعترین نشانههای عفونت لوزه، بلع دردناک است و یا ممکن است لوزهها به طور قابل مشاهدهای بزرگ و قرمز شوند، همچنین کودکان معمولاً دچار تب بالا میشوند و تنفس با صدا به دلیل تورم داشته باشند که میتواند مشکلاتی ایجاد کند.
عباسی گفت: در برخی موارد، مشکلات لوزه ممکن است همراه با سرفههای خشک و خلطدار باشد همچنین کودک ممکن است احساس خستگی و بیحالی کند.
وی در ادامه با بیان اینکه بیشترین مشکلات عفونتهای لوزه، ویروسی هستند عنوان کرد: آنتیبیوتیکها روی عفونتهای ویروسی اثر ندارند بنابراین استفاده از پنیسیلین و آنتی بیوتیکها که غالبا ضدباکتری هستند در این خصوص مؤثر نیستند.
این متخصص گوش و حلق و بینی تبیین کرد: مصرف بیرویه آنتی بیوتیکها منجر به مقاومت آنتیبیوتیکی در بدن شده یا در گوارش افراد اختلال ایجاد میکند، بنابراین توصیه نمیکنیم برای هر عفونت ساده، آنتیبیوتیک مصرف کنیم زیرا هم بدن آسیب خواهد دید و هم در شرایط بروز عفونتهای جدی، داروهای آنتیبیوتیکی تأثیری بر درمان نخواهند داشت.
وی با اشاره به اینکه در هر شرایطی نمیتوان به جراحی لوزه روی آورد، گفت: ممکن است با هر عفونتی ساختار لوزه دچار تغییر شود و حتی ممکن است به دردهای دائمی منجر شود، در ابتدا ممکن است با دارو بتوان آن را کنترل و درمان کرد اما چنانچه لوزه با عفونتهای مکرر به لوزه بیمار و بسترساز بیماری تبدیل شود باید لوزه سوم از پشت بینی برداشته شود تا تنفس راحتتری برای فرد فراهم شود.












